Bà Thành nâng ngực cách đây 15 năm, không có bất thường về mạch máu, gần đây không va chạm gì ảnh hưởng đến ngực. Khi cơn đau ngực tăng nặng, bà đến Bệnh viện Đa khoa Tâm Anh TP HCM kiểm tra. Kết quả chụp cộng hưởng từ (MRI) của bà Thành cho thấy túi ngực hai bên còn nguyên vẹn, ngực bên trái có tụ dịch không thuần nhất quanh túi ngực. Chọc hút kim nhỏ cho thấy có dịch viêm, không phát hiện tế bào ung thư hay di căn.
Bác sĩ phẫu thuật lấy bỏ túi ngực hai bên, cắt trọn bao xơ ngực trái và sinh thiết bao xơ ngực phải. Quá trình phẫu thuật, êkíp ghi nhận có khoảng 100 ml dịch máu tụ trong bao xơ quanh túi.
ThS.BS.CKI Huỳnh Bá Tấn, khoa Ngoại Vú - Đầu Mặt Cổ, cho biết tụ máu và tụ dịch quanh túi ngực là biến chứng thường chỉ xảy ra ngay sau phẫu thuật nâng ngực. "Tụ máu muộn sau 10-20 năm phẫu thuật nâng ngực là biến chứng hiếm gặp, nhất là khi không có nguyên nhân", bác sĩ Tấn nói, dẫn báo cáo trên Thư viện Y khoa Mỹ, cho thấy có khoảng 15-20 ca tụ máu muộn quanh túi ngực được mô tả toàn cầu, có trường hợp hơn 40 năm sau đặt túi mới phát hiện tụ máu.
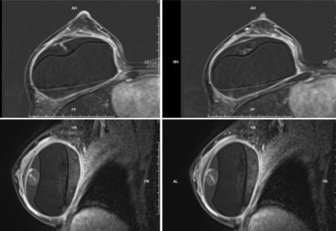
Tương tự, bà Thắm, 51 tuổi, đau ngực phải kéo dài, biến dạng ngực một bên. Bà cũng từng nâng ngực 10 năm trước. Khi đến Bệnh viện Đa khoa Tâm Anh TP HCM khám, ngực phải bà Thắm có dấu hiệu căng tức, biến dạng, bác sĩ nghi ngờ co thắt bao xơ túi ngực, vỡ túi ngực. Kết quả MRI phát hiện vỡ túi hai bên kèm tụ máu quanh, silicone rò ra mô xung quanh. Trong khi mổ, êkíp phẫu thuật hút khoảng 200 ml hỗn hợp máu và silicone, xử lý bao xơ, thay túi độn mới.

Hình MRI của bà Thắm cho thấy khối máu tụ bên trong ngực của bệnh nhân. Ảnh: Bệnh viện Đa khoa Tâm Anh
Hậu phẫu, sức khỏe hai người bệnh đều ổn định, không có tế bào ác tính.
ThS.BS Trần Nguyễn Nhật Khánh, khoa Ngoại Vú - Đầu Mặt Cổ, cho biết phẫu thuật nâng ngực bằng túi độn phổ biến, có nhiều loại túi ngực được cho phép sử dụng trên thị trường, gồm túi gel silicone hay túi nước muối sinh lý, có độ bền cao và được thiết kế để sử dụng lâu dài.
Không có túi ngực nào được tạo ra để tồn tại suốt đời. Trước đây, người bệnh nâng ngực được khuyên thay túi ngực sau khoảng 10 năm. Tuy nhiên, nhiều phụ nữ có thể duy trì túi ngực an toàn trong thời gian dài hơn nếu không gặp biến chứng. Ngược lại, một số phải phẫu thuật lại sớm hơn dự kiến do biến chứng sớm liên quan đến túi như co thắt bao xơ, vỡ túi hoặc biến dạng ngực.
Hiện chưa xác định cơ chế gây tụ máu muộn quanh túi ngực, song có thể liên quan đến tổn thương vi mạch, co thắt bao xơ hoặc phản ứng viêm mạn tính dẫn đến chảy máu quanh túi. Triệu chứng tụ máu quanh túi ngực thường gặp như ngực sưng, đau, to nhanh, dễ bị nhầm với u lympho tế bào lớn không biệt hóa liên quan đến túi ngực

Các bác sĩ đang xử trí biến chứng rò rỉ do đặt túi ngực sau 10 năm cho một bệnh nhân. Ảnh: Bệnh viện cung cấp
Thống kê năm 2024 của Cục Quản lý Thực phẩm và Dược phẩm Mỹ tại nước này và thế giới ghi nhận 1.380 ca biến chứng liên quan túi ngực, trong đó 64 trường hợp tử vong, với thời gian tiềm ẩn trung bình 8-9 năm sau phẫu thuật.
Phụ nữ nên chọn nâng ngực tại cơ sở y tế uy tín, bác sĩ chuyên môn cao và duy trì theo dõi định kỳ. Tùy tình trạng riêng của người bệnh, cơ địa, loại túi ngực, kỹ thuật phẫu thuật và quá trình chăm sóc sau mổ, bác sĩ tư vấn thời điểm cần thiết thay túi ngực. Phụ nữ bị sưng, đau sau nhiều năm phẫu thuật nâng ngực nên đi khám sớm, nếu phát hiện bất thường, bác sĩ có thể điều trị kịp thời, tăng hiệu quả.
Minh Tâm
*Tên bệnh nhân đã được thay đổi
Độc giả đặt câu hỏi về bệnh ung thư tại đây để bác sĩ giải đáp |