Giữa tháng 11, ông Phan Văn Hiếu (59 tuổi, Đồng Nai) đến tái khám tại Bệnh viện đa khoa Tâm Anh TP HCM sau một năm phẫu thuật nội soi loại bỏ nốt ung thư ở phổi. Kết quả cho thấy bệnh không có dấu hiệu tái phát, bệnh nhân không gặp trở ngại về hô hấp và sức khỏe tổng thể ổn định; sẽ tiếp tục theo dõi định kỳ mỗi năm một lần.
"Tôi may mắn phát hiện bệnh ung thư sớm nhờ khám sức khỏe định kỳ. Bệnh của tôi được kiểm soát tốt. Giờ theo lời bác sĩ tôi sẽ ăn uống, sinh hoạt điều độ để giữ sức khỏe", ông Hiếu nói.

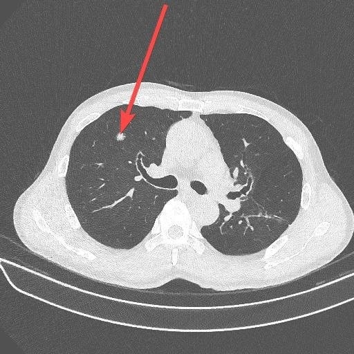
Hình ảnh nốt phổi trước khi được phẫu thuật qua phim chụp CT. Ảnh: Bệnh viện cung cấp
Vì đặc thù công việc, ông Hiếu thường xuyên hút thuốc lá và uống rượu bia. Cách đây 5 năm, do có bệnh tăng huyết áp và đái tháo đường, ông quyết tâm bỏ dần thuốc lá vì tác hại của nó. Tháng 6 năm ngoái, ông đến Bệnh viện Đa khoa Tâm Anh TP HCM khám tổng quát, tình cờ phát hiện một nốt đặc ở phổi trên phim chụp X-quang. Kết quả chụp cắt lớp vi tính (CT) liều thấp cho thấy, khối u gần 7 mm nằm gọn ở thùy trên phổi.
Qua thăm khám, thực hiện các chẩn đoán hình ảnh chuyên sâu, đồng thời hội chẩn nhiều chuyên khoa, các bác sĩ nhận thấy đây là nốt đơn độc ở phổi chưa thể phân biệt lành tính hay ác tính. Ông Hiếu được hướng dẫn tập thể dục, cải thiện hô hấp, dinh dưỡng và hẹn tái khám sau 3 tháng.
Lần tái khám sau, kích thước nốt phổi tăng lên hơn 9 mm. Sau hội chẩn, bác sĩ quyết định phẫu thuật nội soi lồng ngực nhằm cắt trọn khối u. Trong ekip trực tiếp phẫu thuật cho ông Hiếu, bác sĩ Trần Quốc Hoài, khoa Phẫu thuật Tim mạch - Lồng ngực, cho biết cuộc phẫu thuật kéo dài gần 3 giờ đã loại bỏ u và lấy toàn bộ hạch trung thất để gửi giải phẫu bệnh. Bệnh nhân hồi phục tốt, xuất viện 2 ngày sau mổ và được bác sĩ hướng dẫn chế độ theo dõi tập luyện, trị liệu hô hấp.
Kết quả giải phẫu bệnh là ung thư phổi tế bào vảy, chưa di căn hạch. Nhờ phát hiện, xử lý triệt để khối u ở giai đoạn sớm nên ông Hiếu chưa cần hóa xạ trị. Tuy nhiên, bệnh nhân cần tái khám định kỳ để theo dõi, đề phòng khối u tái phát cũng như kiểm soát các bệnh mạn tính đi kèm.

Bác sĩ Trần Quốc Hoài và êkip phẫu thuật nội soi cắt u phổi và nạo hạch trung thất cho bệnh nhân. Ảnh: Bệnh viện cung cấp
Theo bác sĩ Hoài, phẫu thuật nội soi lồng ngực là kỹ thuật hiện đại trong điều trị các bệnh lý u phổi và u trung thất, đặc biệt là ung thư phổi. Với hệ thống phẫu thuật nội soi 3D cho hình ảnh rõ nét, bác sĩ thực hiện cắt trọn khối u nhanh chóng, dễ dàng, đường mổ nhỏ, bệnh nhân ít đau, nhanh hồi phục.
Tầm soát phát hiện sớm ung thư phổi
TS.BS Hồ Hoàng Phương, Giám đốc Trung tâm Chẩn đoán hình ảnh và Điện quang can thiệp, Bệnh viện Đa khoa Tâm Anh TP HCM, cho biết phương pháp hiệu quả nhất giúp phát hiện ung thư phổi ở giai đoạn sớm là chụp cắt lớp vi tính (CT) phổi liều thấp (LDCT). Bệnh viện Đa khoa Tâm Anh trang bị hệ thống chụp CT hai đầu bóng ứng dụng trí tuệ nhân tạo, có khả năng tái tạo 768 lát cắt, giúp đánh giá những tổn thương nhỏ nhất mà máy chụp CT thông thường khó phát hiện. Nhờ đó, những tổn thương chỉ vài milimet cũng dễ dàng phát hiện với liều tia xạ thấp nhất.

Hệ thống chụp CT 768 lát cắt tại Bệnh viện Tâm Anh có thể phát hiện các tổn thương nhỏ ở phổi, giúp tầm soát ung thư phổi giai đoạn sớm. Ảnh: Bệnh viện cung cấp
Ung thư phổi là nhóm ung thư có số ca mắc mới và tỷ lệ tử vong cao thứ hai tại Việt Nam (sau ung thư gan) theo Globocan 2020. Theo bác sĩ Hoài, bệnh thường tiến triển âm thầm nên đa số được phát hiện ở giai đoạn muộn, khi bệnh nhân đã có triệu chứng kéo dài như đau ngực, ho, khó thở. Lúc này, ung thư phổi đã tiến triển nên khả năng điều trị khỏi rất hạn chế. Tầm soát ung thư phổi định kỳ ở những đối tượng có nguy cơ cao giúp phát hiện ung thư ở giai đoạn sớm, tăng tỷ lệ điều trị khỏi bệnh và giảm tử vong lâu dài.
Hiệp hội Ung thư Mỹ khuyến nghị nên tầm soát ung thư phổi mỗi năm bằng chụp CT phổi liều thấp ở người từ 50-80 tuổi; trường hợp đang hút thuốc hoặc đã bỏ thuốc lá trong 15 năm gần nhất nên thăm khám để được tư vấn tầm soát phù hợp.
Không có biện pháp nào giúp ngăn ngừa ung thư phổi tuyệt đối. Tuy nhiên, mọi người có thể hạn chế nguy cơ mắc bệnh bằng cách tránh xa khói thuốc lá (kể cả hút thuốc thụ động), duy trì chế độ ăn uống và tập luyện thể thao lành mạnh, hạn chế tiếp xúc với hóa chất độc hại, môi trường ô nhiễm... Tầm soát ung thư phổi nếu thuộc nhóm nguy cơ cao ung thư phổi, và khi xuất hiện các triệu chứng bất thường, người bệnh cần đi khám sớm để tìm nguyên nhân và xử lý kịp thời.
* Tên bệnh nhân đã được thay đổi.
Hạ Vũ